
Discover RNAscope, the gold-standard for ISH chemistry and the most reliable assay to detect gene expression in FFPE samples with exceptional sensitivity and specificity over traditional ISH technologies.
|
Stop by Booth #612 to Meet Our Team.
|
ATTEND OUR SEMINAR
RNAscope™: What’s New in Clonality ISH: TRBC-Based T-Cell Clonality Meets RNAscope Kappa/Lambda + IGLL5
Join us for an update on the newest advances in in situ hybridization (ISH) clonality testing that brings T-cell and B-cell assessments into a unified, morphology-first workflow. This session will introduce emerging RNAscope TRBC1/TRBC2-based T-cell clonality ISH for assessing T-cell neoplasms. We will also review routine B-cell clonality ISH using RNAscope kappa/lambda with IGLL5 to enhance confidence in cases where light-chain interpretation is challenging. Through illustrative case examples, faculty will highlight how these assays can help resolve common diagnostic dilemmas in a variety of tissue types and samples. Attendees will learn suggested use-cases, key signal patterns, and pitfalls that may mimic or obscure clonality.
Date/Time: Monday, March 23 | 12:00 pm-1:00 pm![]() Elizabeth L. Courville, MD University of Virginia School of Medicine |
![]() Jeffrey W. Craig, MD, PhD University of Virginia Health Systems |
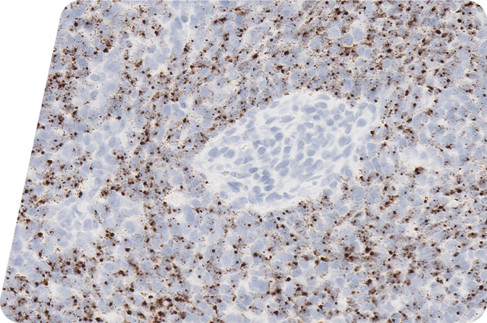
Exploring the Efficacy of TRBC1 and TRBC2 mRNA RNAscope™ for In Situ T-Cell Clonality Assessment in Diverse T-Cell Malignancies
Date/Time: Monday, March 23 | 9:30 am - 12:00 pm
Selected for Moderated Poster: Tuesday, March 24 | 3:46 - 3:53 pm.
Presenter: Sahil Chaudhary, M.B.B.S., Department of Pathology, University of Virginia School of Medicine
Terms and conditions of Sale | Privacy Policy | Email Preferences
© 2026 Copyright Bio-Techne. All rights reserved.